Skip to content
Call Us Today!
02 8084 7170
|
BOOK NOW
HOME
PATIENT INFORMATION
FIRST VISIT
SCHEDULING
FINANCIAL POLICY
NO INTEREST PAYMENT PLAN
PAYMENT PLAN
GOVERNMENT FUNDED SCHEMES
PREGNANCY AND DENTISTRY
INFANT DENTAL CARE
TODDLER DENTAL CARE
ORAL HYGIENE
CHILD DENTAL BENEFITS SCHEDULE (CDBS)
FAQs
SERVICES
Preventive Dentistry & Oral Care
Restoratives (Fillings)
Implants
Braces
Children’s Dentistry
Dental Crowns & Bridges
Teeth Whitening
Anti-wrinkle Injections and Cosmetic Injections
Emergency Dentists
Endodontics (Root Canal Therapy)
Periodontics
Dental Veneers
Tooth Extractions
Dentures
Orthodontics
Invisalign
OUR TEAM
COMMUNITY
BLOG
SPECIALS
GALLERY
CONTACT US
BOOK NOW
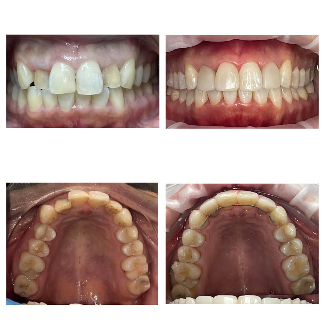
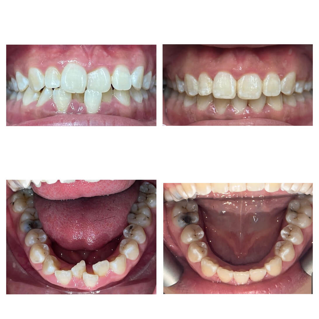
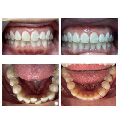
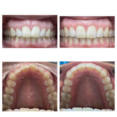
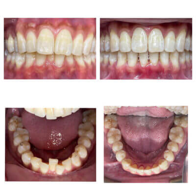
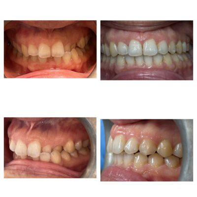
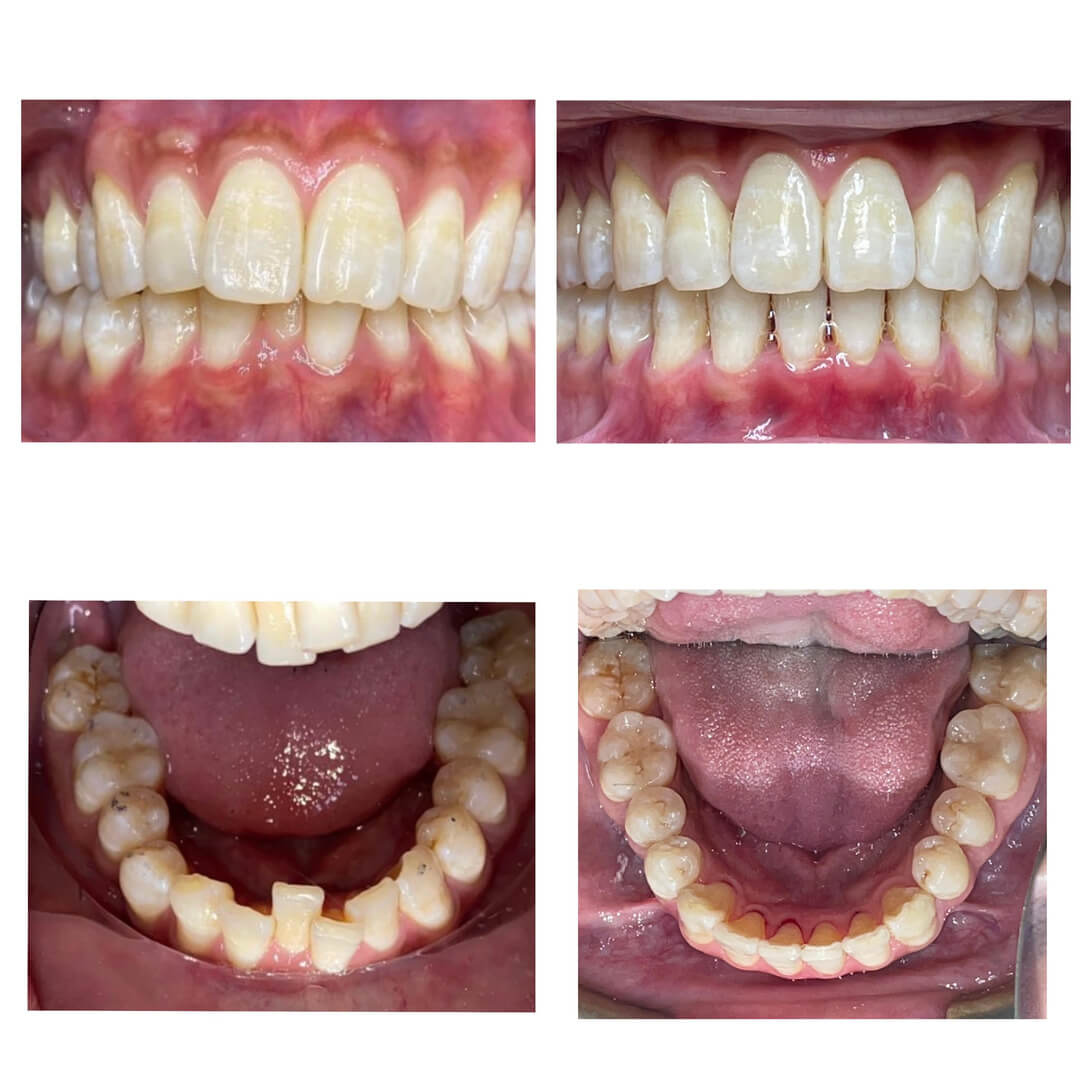
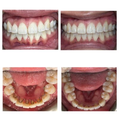
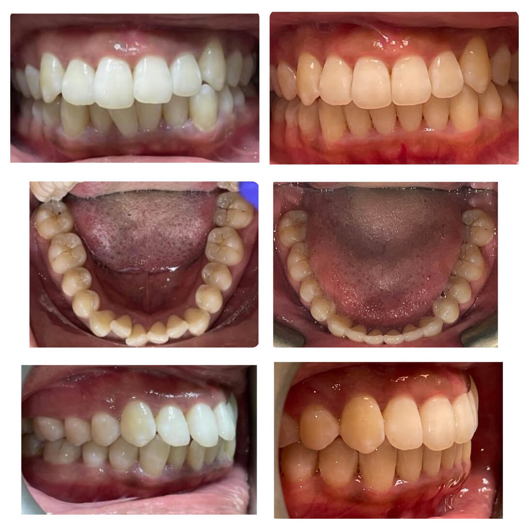
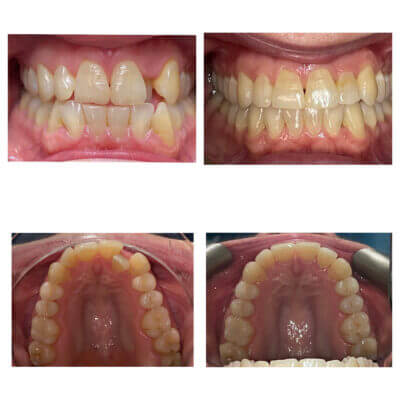
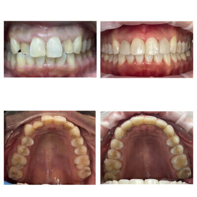
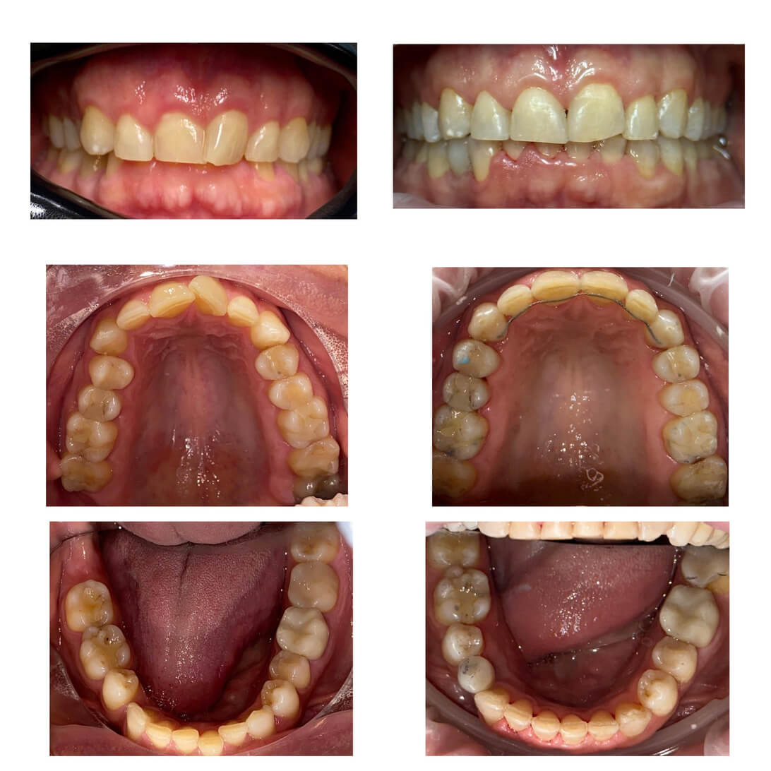
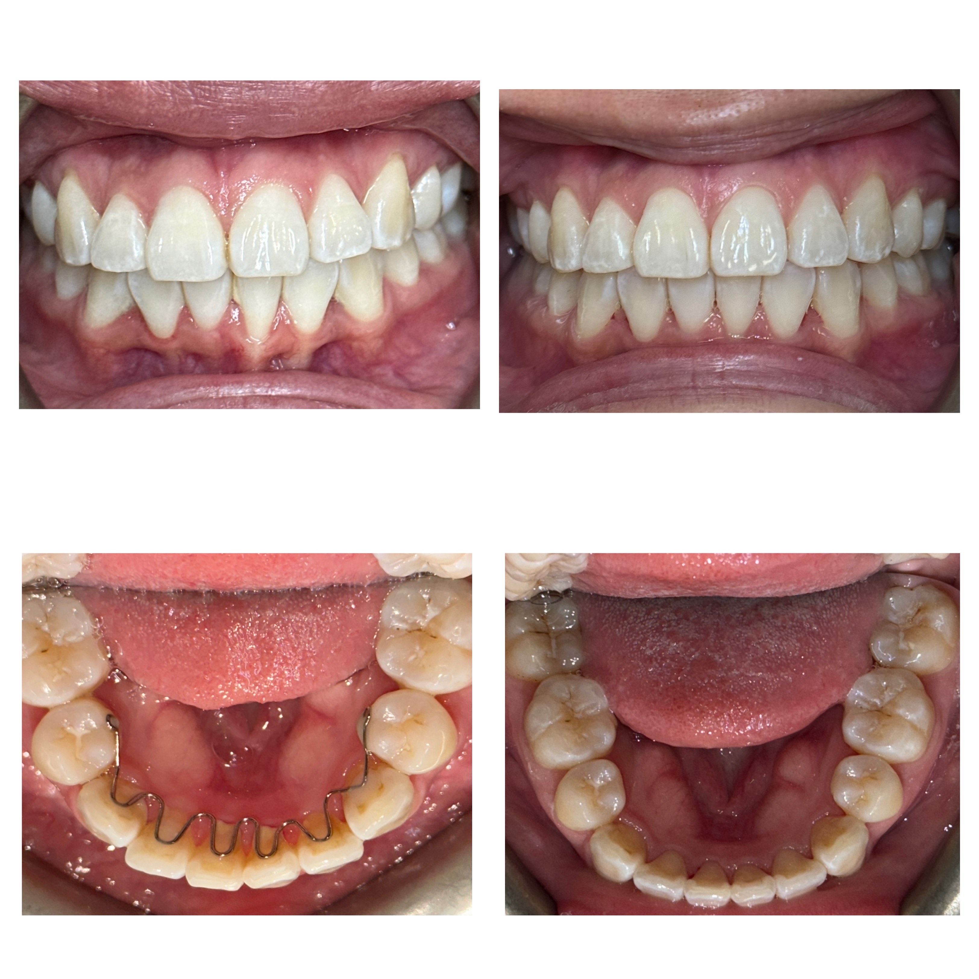
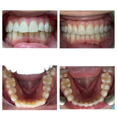
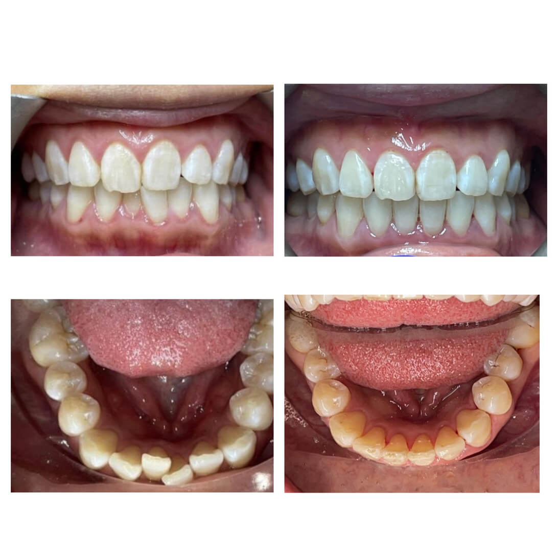
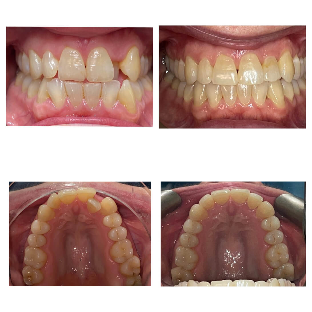
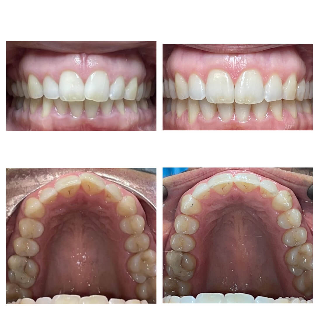
Teeth Straightening –
Invisalign & Braces
Teeth Straightening –
Invisalign & Braces
admin
2024-05-31T11:54:01+00:00
Project Description